Thursday, May 18, 2023
උපත් පාලනය ගැන දැනගත යුතුම කරුණු කිහිපයක්..
Monday, May 15, 2023
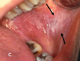
බුලත්විට කෑම සහ මුඛ පිලිකා / Betel Nut Chewing and Oral Cancer
Sunday, May 14, 2023
Depression එහෙමත් නැත්නම් මානසික අවපීඩනය/විෂාදය
Depression එහෙමත් නැත්නම් මානසික අවපීඩනය
මෙම මානසික රෝගී තත්වය නිසා, නිතරම අපට සියදිවි හානි කරගන්නා පුද්ගලයන් පිළිබඳ අහන්නට ලැබෙනවා. සමහර විට ඔබ නොදන්නවා වුණාට ඔබ ළඟම ඉන්න හිතවෙතෙකුටත් මේ රෝගී තත්වය තිබිය හැකියි. depression කියන්නේ සාමාන්ය මානසික තත්වයක් නොවේ එය රෝගයක්. එයට ප්රතිකාර සිදු කළ යුතු අතර ඒක සනීප කරන්න පුළුවන් ලෙඩක්. ලැජ්ජ වීමට හෝ එය හංගා සිටිය යුතු ලෙඩක් නොවෙයි. උණ හෙම්බිරිස්සාව හැදෙනවා වගේ අපි ඕනෑම කෙනෙකුට ජීවිතයේ ඕනෑම මොහොතක depression තත්වය ඇතිවිය හැකියි. එම නිසා දැන්වත් මෙම මානසික රෝග ගැන නිවැරදි අවබෝධයකින් අපි කටයුතු කළ යුතුයි. පිස්සන් හෝ පිස්සු හැදිලා යැයි එම රෝගීන්ට පැවසීම දැන්වත් නවත්තමු. මොකද හෙට ඒ රෝගියා ඔබ විය හැකියි. දුක සහා මානසිකව පහතට වැටීමේ හැඟීම අපට අප්රසන්න වාතාවරණයක් තුල සාමාන්යයි.
Depression රෝගය ඇති වී ඇති බවට තහවුරු කිරීමට නම්, එයටම විශේෂිත වූ රෝග ලක්ෂණ සති දෙකකට වඩා රෝගියාට තිබීම අවශ්යයි. මෙහිදී මනෝ විද්යාව තුළ ICD 10 සහා DSM IV කියන ක්රමවේදයන් ඔස්සේ රෝගය තහවුරු කිරීම වෛද්යවරයා විසින් සිදු කරනවා.
ශ්රී ලංකාවේ දී අප මේ රෝගය තහවුරු කිරීමට යොදා ගන්නේ මෙම ICD-10 ක්රියා පටිපාටියයි.
සමාජයේ depression තත්ත්වය 2-5% ත් අතර පිරිසක් තුළ දැකිය හැකියි. මෙයිනුත් කාන්තාවන්ට depression ඇතිවීමේ සම්භාවිතාවය පිරිමින්ට වඩා දෙගුණයක් වෙනවා. මෙම රෝගී තත්ත්වය පැමිණෙන්නේ episodes එහෙමත් නැතිනම් කොටස් වශයෙන්, සාමාන්යයෙන් එක depression එපිසෝඩ් එකක් මාස එකත් හයත් අතර කාලයක් තිබිය හැකියි.කලාතුරකින් රෝගීන්ට අවුරුදු දෙකකට වඩා රෝග ලක්ෂණ තිබෙන කල්පවත්නා depression තත්වයක් ඇතිවිය හැකියි.
ICD-10 ක්රියා පටිපාටියට අනුව රෝගය හඳුනා ගන්නා ආකාරය.
මෙහිදී ප්රධාන රෝග ලක්ෂණ තුනක් සලකනවා,
1. අඛණ්ඩව පවතින පහත වැටුණු මානසික තත්වය.
2. ජීවිතේ කලින් ආසාවෙන් කරපු දේවල් වලට ඇති ආසාව සහ සතුට නැති වීම.
3. වෙනදා වගේ වැඩක් කරන්න තියෙන හිතේ ශක්තිය නැති වීම.
මීට අමතරව තවත් රෝග ලක්ෂණ හතක් සලකනවා,
1. අවධානය අඩු වීම.
2. තමන් ගැන ඇති වටිනාකම සහ තමන් ගැන ඇති විශ්වාසය අඩු වීම.
3. සෑම මොහොතකම තමන් ගැන වරදකාරී බව සහ නොවටිනාකම හැඟීම.
4. අනාගතය ගැන බලාපොරොත්තු රහිත වීම.
5. තමාගේම ශරීරයට හානි කිරීමට හෝ ජීවිතය නැතිකර ගැනීමට සිතීම.
6. හරියට නින්ද නොයෑම.
7. ආහාර අරුචිකත්වය.
ප්රධාන රෝග ලක්ෂණ සහ අනෙකුත් රෝග ලක්ෂණ හතෙන් රෝග ලක්ෂණ කොපමණ තිබෙනවාද යන්න මත සහ, සති දෙකකට වඩා එම රෝග ලක්ෂණ තිබීම මත රෝගය තහවුරු කිරීම සහ රෝගී මට්ටම තීරණය කරනු ලබයි.
depression කියන්නේ රෝගයන් ගොන්නක එකතුවක්. මෙහිදී නිවැරදිවම depression කුමන ගණයට අයත් වන රෝගයකට අයත් වන්නේදැයි සොයා ගත යුතුයි. ඒ ඒ රෝගය අනුව කරනු ලබන ප්රතිකාර වෙනස් වෙනවා.
රෝගය ඇතිවීමට හේතු
* පවුලෙන් එන ජානමය හේතු
* සමහර කායික රෝග තත්වයන්
* හෝමෝනමය රෝග
* සමහර ඖෂධ වර්ග (අක්රමවත් ලෙස ගැනීම)
* මත්ද්රව්ය භාවිතය
* පුද්ගල ගති ලක්ෂණ (personality)
* ගැටළු වලට පිළිතුරු සෙවීමේ ඇති නොහැකියාව (coping strategies)
* පුද්ගල සම්බන්ධතා
ඉහත සඳහන් හේතු හරහා depression රෝගය ඇති කිරීමට හේතු ඇති විය හැකිය.
රෝගයට ප්රතිකාර කිරීම
ප්රතිකාර කිරීමට පෙර වෛද්යවරයා විසින් risk assessment එකක් එහෙමත් නැත්නම් රෝගියාගේ අවදානම පිළිබඳ පරීක්ෂාවක් සිදු කරයි.
ප්රතිකාර කිරීමේදී
1. වෛද්යවරයා විසින් රෝගියාගේ අවදානම් මට්ටම හදුනා ගැනීම.
2. රෝගියාට සහ පවුලේ අයට රෝගය පිළිබඳව නිවැරදි දැනුමක් ලබා දීම.
3. රෝගියාට යහපත් social support එකක් family support එකක් එහෙමත් නැත්තන් සමාජයීය සහ පවුලෙන් එන උදව් සහතික කිරීම.
4. රෝගියා ජීවත් වෙන පරිසරය ඔහුට අවම ලෙස හානිදායක විය හැකි ලෙස සැකසීමට උපකාර කිරීම.
5. රෝගියාගේ දැනුම, අවදානම් මට්ටම හඳුනාගනිමින් ඒ අනුව මානසික උපදේශනය ආරම්භ කිරීම.
6. ඖෂධ මඟින් ප්රතිකාර කිරීම.
ඖෂධ අවශ්ය රෝගීන්ට , රෝගයෙන් වැළකීමට නම් එම ප්රතිකාර කිරීම අත්යවශ්යයි. මානසික රෝග සඳහා යොදා ගන්නා ඖෂධවල යම් යම් අතුරු ආබාධ තිබුණත්, රෝගියාගේ ජීවිතය බේරා ගැනීමට නම් නිවැරදි මාත්රාවෙන් නිවැරදි කාලය ඒ ඖෂධ ඔහුට ලබා දිය යුතුයි.
ඊට අමතරව රෝගය දරුණු ලෙස ඇති රෝගීන්ට, electroconvulsive therapy විදුලිය ඇල්ලීම සිදුකරයි. මෙය වේදනාත්මක ප්රතිකාරයක් වන අතර, වෙන කිසිත් කළ නොහැකි අවස්ථාවකදී මෙය පිළිතුර වේ. මීට අමතරව පුළුල් ලෙස විස්තර කළ යුතු තවත් ප්රතිකාර ක්රම කිහිපයක්ම ඇත.
මේ ලිපියෙන් ප්රධාන ලෙස ඔබව දැනුවත් කළ යුත්තේ, depression කියන්නේ අති අවදානම් රෝගී තත්වයක්, නමුත් නිවැරදි වෛද්ය මානසික උපදේශයන් යටතේ නිවැරදි ඖෂධ ලබාදීම මගින් රෝගියාගේ ජීවිතය බේරා ගැනීමට පුළුවන් විය හැකියි. depression තත්වයට පත් වුණාම යාළුවෙක් එක්ක කතා කළා කියලවත් පවුලේ කෙනෙක් එක්ක කතා කළා කියලවත් ගොඩ එන්න බෑ, ඒකට නිවැරදිම මානසික උපදේශනය අවශ්යයි. ඒ නිසා ඔබේ වටපිටාවේ ඉන්න හිතවතුන් ගැන අවධානයෙන් ඉන්න, මානසික රෝග කියන්නේ ලැජ්ජ වෙන්න ඕනි කාරණයක් නෙමෙයි.
ඔබට හෝ හිතවතෙකුට මානසික රෝග ලක්ෂණ තියෙනවද?
හිතට දුකක් දැනෙනවා ද?
ජීවිතේ නැති කරගන්න හිතනවද?
එහෙනම් දැන්ම කතා කරන්න 👇
☎️ 1926 ( ජාතික මානසික උපදේශන සේවය - පැය 24ම ඇමතුම් හෝ SMS මඟින්)
ජාතික මානසික සෞඛ්ය සභාව 👇
☎️ +94 776 996 367
☎️ +94 112 685 960
ලිපිය - 🖋️Dr Inusha Ambagahawatta
Ref. From : Clinical Psychiatric by Raveen Hanwella (2nd Edition)
Wednesday, February 8, 2023
තාත්තා - හිතක මැවෙන කවි
වළාකුළු අහස්කුස තුරුලේම ගුලි වුනී,
බියක් දුක දැනුනාම හිත හෙමින් නැවතුනී,
නූඹෙ තුරුල ලග යළිත් පණ ගැස්ම ඇතිඋනී...
හැමතැනම හැමවිටම ලඟින් හිටි තාත්තා,
හැමදේම හැමවිටම දන්නෙ මගේ තාත්තා,
හැමදේම දරාගෙන හයිය උන තාත්තා,
හැමදාම පාඩමක් මට මගේ තාත්තා...
ඔරලෝසුවේ කටු නොයයි ලගින් ඉන්නා විට,
පාළුවක් තනිකමක් දැනුනේම නෑ මට,
තාමත් ගුරුවරයා ජීවිතේ නුබ මට,
ඉඳින් තව බොහෝ කල් වෙයං හයියම මට...
ආදරය දැනගත්තේ ජීවිතේ නුඹගෙනි,
ඉවසීම ධෛර්යය දැනගත්තේ නුඹගෙනි,
වැටුණාම නැගිටින්න දැනගත්තේ නුඹගෙනි,
පොඩි කාලේ ඔයා මට මහා යෝධ වීරයෙක්,
බයක් නැති හිතහයිය හරි පුදුම පිරිමියෙක්,
බැහැ කියලා හිතපු මග එළි කරපු දෙවි කෙනෙක්,
මට මාව සොයා දුන් හිතේ මගේ බුදු කෙනෙක්...
Wednesday, February 1, 2023
සල්ලාල පෙම්වතා





